Hacer donación mediante PAYPAL
La historia de JOSITO es muy triste: cuando la compañera se dirigía al refugio, encontró en una rotonda a un perro atado en una señal de dirección, con una cuerda morroñosa.
El pobre animal se encontraba pegando tirones tratando de zafarse de la cuerda pero lógicamente sin éxito. Al contrario, apretando cada vez más la cuerda en su cuello.
La cara del animal, indescriptible, desencajado, aterrorizado… la compañera dejó tirado su vehículo y corrió en su ayuda. El pobre, dentro del miedo que tenía, intentaba atacarla sin entender que solo trataba de ayudarle.
Así que volvió al coche, cogió unas tijeras y una manta, cortó la cuerda de la señal, y con la manta le cubrió y echó al coche.
Una vez llegó a la puerta del refugio le quitó la cuerda y el pobre ya empezó a relajarse y nunca más intentó morder.
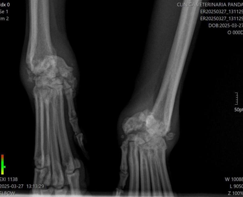
Ahora viene la segunda parte que casi es la peor que la primera: Observamos que tenía las muñecas inflamadas y andaba con dificultad. Tras varias radiografías, se observan las muñecas partidas (no reciente), y una de ellas luxada. Creen que pudieron tenerlo colgado o que lo arrastraron sujeto por las patas.
Aún así, Josito es el ser más bueno que puedas conocer. Obviamente bastante tímido si no te conoce pero es un dulce.
Si quieres darle un hogar, escribe a lahuellaroja.almeria@gmail.com